Trên thế giới nói chung và tại Việt Nam nói riêng, sỏi thận là một trong những bệnh lý thường gặp nhất của đường tiết niệu. Nước ta nằm trong vùng khí hậu nhiệt đới nóng ẩm cùng với cơ địa thường xuyên mất nước nhiều nên từ lâu đã được coi là một vùng dịch tễ sỏi. Khoảng 10-14% người Việt có bệnh lý liên quan đến sỏi thận. Tại Mỹ, khảo sát cho thấy có 7-10% người từng bị sỏi thận một lần trong đời mà không có bất kỳ triệu chứng nào. Tỉ lệ mắc bệnh trên toàn thế giới là 3% dân số và tỷ lệ này khác nhau giữa các quốc gia.
Vậy sỏi thận là gì? Nguyên nhân do đâu và cách điều trị sỏi thận như thế nào? Bệnh viện Đức Phúc sẽ giúp bạn làm rõ những vấn đề trên thông qua bài viết sau đây!

Sỏi thận là gì?
Sỏi thận là bệnh lý tại hệ tiết niệu thường gặp ở độ tuổi trung niên, từ 30 – 55 tuổi và tỷ lệ mắc bệnh nhiều hơn ở nam do nam giới có cấu tạo đường tiết niệu dài hơn và phức tạp hơn nên sỏi thường khó tự đào thải hơn ở nữ giới.
Sỏi tiết niệu là những phân tử rắn được hình thành do sự kết tinh tự nhiên của các tinh thể vô cơ có trong nước tiểu. Đa phần những viên sỏi bắt đầu hình thành từ thận, di chuyển dọc theo đường đi của hệ tiết niệu và bài tiết ra ngoài nên nhiều người quen gọi là sỏi thận.

Khi hệ tiết niệu bắt đầu hiện tượng lắng và kết tinh sỏi, những tinh thể và viên sỏi nhỏ thường đi theo đường tiểu và được bài tiết ra ngoài. Tại một vị trí nào đó trên đường niệu, tinh thể hoặc viên sỏi bị vướng lại, tiếp tục lắng và kết tinh tạo thành những viên sỏi kích thước lớn hơn.
Tại đây, sỏi kích thước lớn dần, có thể làm cản trở dòng lưu thông của nước tiểu dẫn tới ứ đọng nước tiểu, giãn phình ở phần trên vị trí tắc nghẽn. Chính tại vị trí này, sẽ xảy ra nhiều biến chứng như nhiễm trùng, kết tinh và hình thành thêm các loại sỏi khác nhau…, hậu quả cuối cùng là phá hủy từ từ cấu trúc thận, dẫn tới suy thận.
Dựa vào vị trí của viên sỏi trên đường tiết niệu mà sỏi có thể gọi tên hoặc phân loại khác nhau:
- Sỏi thận là sỏi nằm ở thận, gồm sỏi đài thận và sỏi bể thận.
- Sỏi niệu quản: do sỏi di chuyển từ bể thận xuống niệu quản và gây bế tắc đường tiết niệu.
- Sỏi bàng quang: 80% là do sỏi từ thận, niệu quản rớt xuống hoặc do bế tắc vùng cổ bàng quang, niệu đạo .
- Sỏi niệu đạo: khi sỏi theo dòng nước tiểu từ bàng quang xuống niệu đạo và bị mắc kẹt tại đây.

=> Liên hệ tới Bệnh viện Đức Phúc qua số điện thoại 097 119 5050 – 097 129 5050 để được tư vấn cụ thể nhất!
Sỏi thận do nguyên nhân nào gây nên?
Có nhiều nguyên nhân gây ra sỏi thận, bắt đầu từ sự kết tinh, lắng đọng tinh thể trong hệ tiết niệu. Theo các chuyên gia, sỏi tiết niệu hình thành có thể do nước tiểu có chứa quá nhiều các chất hằng định, điển hình là calci, acid uric, cystine… 85% số lượng sỏi hình thành bắt đầu từ sự lắng đọng canxi. Các nguyên nhân cụ thể đã được chấp nhận là:
Uống không đủ nước: Cơ thể không đủ nước cho thận bài tiết, nước tiểu quá đặc. Nồng độ các tinh thể bị bão hòa trong nước tiểu.

Chế độ ăn nhiều muối: Đây là nguyên nhân thường gặp ở người Việt, khẩu vị của người Việt khá mặn. Muối và nước mắm là gia vị quen thuộc hàng ngày… Ăn nhiều muối (NaCl), cơ thể phải tăng đào thải Na+, tăng Ca++ tại ống thận… Do đó, sỏi Calcium dễ hình thành.
Chế độ ăn nhiều đạm: Đạm trong đồ ăn làm tăng nồng độ pH nước tiểu, tăng bài tiết Calcium và lại làm giảm khả năng hấp thu Citrate.
Nạp bổ sung Calcium, Vitamin C sai cách: Chúng ta bổ sung vi chất quá nhiều, dẫn đến tình trạng cơ thể thừa chúng. Đối với Vitamin C, khi chuyển hóa thành gốc Oxalat. Còn ion Ca++ sẽ cạnh tranh và ức chế việc hấp thu các ion khác như Ze++, Fe++, … Khi thận quá thừa các chất sẽ bị quá tải, đương nhiên sẽ tăng nguy cơ hình thành sỏi tại đây.

Hậu quả của bệnh lý đường tiêu hóa như viêm loét dạ dày, tiêu chảy… cũng có thể hình thành sỏi Calci Oxalat. Tiêu chảy làm mất nước, mất các ion Na+ K+,…. giảm lượng nước tiểu; nồng độ Oxalat trong nước tiểu tăng,… từ đó dễ hình thành sỏi.
Yếu tố di truyền: Bệnh cũng có thể do gen trong gia đình. Nguy cơ mắc bệnh trong các thành viên cùng huyết thống, cao hơn bình thường.
Dị dạng đường tiết niệu: khiến đường tiểu bị tắc nghẽn, ví dụ do phì đại tuyến tiền liệt, túi thừa trong bàng quang, u xơ tiền liệt tuyến…
Nhiễm trùng đường tiết niệu: Vi trùng xâm nhập, gây viêm đường tiết niệu dai dẳng, tạo ra mủ, lắng đọng các chất bài tiết lâu ngày cũng là nguyên nhân gây sỏi ở thận.

Chấn thương: Một số bệnh nhân chấn thương, lâu ngày không di chuyển được. Đường tiết niệu tắc nghẽn làm nước tiểu, mà tích trữ lâu ngày, lắng đọng sinh ra sỏi thận.
Béo phì: Theo một số nghiên cứu, nguy cơ mắc bệnh của người béo phì sẽ cao hơn người bình thường.
=> Đức Phúc luôn đồng hành cùng bạn trên hành trình loại bỏ sỏi thận. Hãy liên hệ với chúng tôi qua hotline 097 119 5050 – 097 129 5050!
Những ai có nguy cơ bị sỏi thận?
Sỏi thận là một bệnh khá phổ biến. Bất cứ ai cũng có thể mắc bệnh sỏi thận, tuy nhiên bệnh thường gặp ở người tầm 40 tuổi trở lên. Bạn có thể hạn chế khả năng mắc bệnh bằng cách giảm thiểu các yếu tố nguy cơ. Các nguy cơ có thể kể đến:
- Có người trong gia đình bị bệnh sỏi thận;
- Ăn quá nhiều muối hoặc đạm;
- Béo phì;
- Bệnh hoặc phẫu thuật về đường tiêu hóa chẳng hạn như: viêm ruột, hoặc tiêu chảy mãn tính có thể làm thay đổi quá trình tiêu hóa, từ đó ảnh hưởng khả năng hấp thụ canxi và nước của cơ thể;
- Mắc một số bệnh lý như nhiễm toan ống thận, cystinuria, cường cận giáp, nhiễm trùng đường tiết niệu và sử dụng một số loại thuốc điều trị.

=> Nếu bạn là một trong những trường hợp nên trên, hãy liên hệ ngay với Đức Phúc qua hotline 097 119 5050 – 097 129 5050 để được điều trị càng sớm càng tốt!
Biến chứng của sỏi thận
Nhiễm khuẩn tiết niệu
Khi viên sỏi dạng san hô nhiều cạnh sắc nằm ở thận, hoặc di chuyển từ thận xuống niệu quản, niệu đạo, chúng cọ vào niêm mạc gây tổn thương tạo điều kiện cho vi khuẩn phát triển.
Viêm bể thận cấp
Trường hợp nhiễm khuẩn bể thận nặng sẽ dẫn đến cơn viêm bể thận cấp. Đôi khi viêm bể thận cấp có thể do vi khuẩn đi ngược dòng từ niệu quản, gây các ổ viêm trên thận.
Viêm bể thận mạn tính
Viêm bể thận mạn tính là hậu quả của viêm bể thận cấp tái đi tái lại nhiều lần hoặc kéo dài, dẫn đến tình trạng xơ hóa tổ chức kẽ thận, làm giảm chức năng tái hấp thu của thận. Lâu dài, xơ hóa cả cuộn mao mạch cầu thận, gây suy giảm chức năng lọc của thận.
Ứ nước bể thận
Tùy mức độ ứ nước mà mức độ nguy hiểm cũng sẽ khác nhau, thường xảy ra khi viên sỏi ở nhóm đài thận gây ứ nước một phần thận hoặc sỏi ở niệu quản gây ứ nước toàn thận và niệu quản.

Khi đó thận, niệu quản bị giãn rộng, nếu kéo dài quá 6 tuần thì nhu mô thận khó có thể phục hồi. Nguy hiểm hơn, khi ứ nước, tắc nghẽn, sẽ làm tăng áp lực lọc, từ đó làm tăng Prostaglandin gây co mạch thận, làm thận thiếu máu, nhiều ống thận sẽ bị teo và tủy thận bị hủy hoại.
Ứ mủ bể thận
Trong trường hợp viêm bể thận nặng, không phát hiện và điều trị kịp thời sẽ gây ứ mủ. Biến chứng này là một cấp cứu nội khoa nặng, có thể hủy hoại nhanh nhu mô thận.
Suy thận cấp
Nếu hai quả thận đều bị bế tắc cùng một lúc, bệnh nhân rất dễ rơi vào tình trạng không có một giọt nước tiểu nào cả, biến chứng này nếu kéo dài trong vài ngày có thể dẫn đến tử vong.
Suy thận mạn
Suy thận là hậu quả nghiêm trọng và nặng nề mà sỏi gây ra, các tổ chức nhu mô thận bị xơ hóa dần dần. Tình trạng suy thận sẽ xuất hiện, người bệnh sẽ phải cần đến các biện pháp tốn kém để duy trì sự sống như chạy thận nhân tạo hay ghép thận.

Vỡ thận
Vỡ thận có thể xảy ra khi thận bị ứ nước to, vách thận mỏng. Tuy nhiên, đây là trường hợp rất hiếm gặp.
=> Hãy liên hệ với Đức Phúc càng sớm càng tốt qua số điện thoại 097 119 5050 – 097 129 5050 để các bác sĩ giúp bạn tránh khỏi những biến chứng mà sỏi thận gây nên!
Sỏi thận có những triệu chứng nào?
Khoảng một phần ba dân số bị sỏi thận, nhưng chỉ phân nửa trong số này có triệu chứng. Tuy nhiên, ngay cả khi không có triệu chứng, những viên sỏi có thể gây ra nhiều vấn đề, chẳng hạn như nhiễm trùng và nghẽn dòng chảy nước tiểu
Khi những viên sỏi bị mắc kẹt trong niệu quản, các triệu chứng sẽ bắt đầu xuất hiện. Các triệu chứng thường gặp nhất là cơn đau dữ dội vùng thắt lưng, hay còn có tên gọi khác là “cơn đau quặn thận”, thường xuyên xuất hiện từ vùng hố thắt lưng một bên hoặc cả hai bên, sau đó lan xuống vùng hạ sườn, bẹn và cơ quan sinh dục ngoài. Những triệu chứng khác bao gồm: tiểu máu; buồn nôn và nôn mửa; sốt, ớn lạnh.

Khi nào bạn cần gặp bác sĩ?
Bạn cần đi khám bác sĩ nếu có những triệu chứng trên. Đặc biệt bạn phải tìm kiếm sự hỗ trợ y tế ngay nếu có các triệu chứng như:
- Cơn đau nghiêm trọng tới mức bạn không thể ngồi im;
- Cơn đau đi kèm buồn nôn và nôn mửa;
- Cơn đau kèm sốt và ớn lạnh;
- Nước tiểu có máu;
- Khó tiểu, bí tiểu.
=> Hãy liên hệ với Đức Phúc ngay qua số điện thoại 097 119 5050 – 097 129 5050 nếu bạn có một trong những triệu chứng như trên!
Phương pháp nào phát hiện được sỏi thận?
Để chẩn đoán bệnh sỏi thận một cách chính xác và đưa ra phác đồ điều trị hiệu quả, bệnh nhân sẽ phải thực hiện nhiều biện pháp xét nghiệm cận lâm sàng. Đó là:
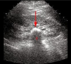
Siêu âm
Khi nghi ngờ có thận có sỏi, phương pháp chẩn đoán đầu tiên được chỉ định là siêu âm, vì nó khá hiệu quả, đơn giản và ít tốt kém. Khi siêu âm, bác sĩ có thể phát hiện sỏi, đồng thời có thể tiên lượng được mức độ ứ nước của thận, niệu quản và độ dày mỏng của chủ mô thận.

Một số trường hợp bị sỏi nhưng không có biến chứng hoặc triệu chứng rõ ràng, đã được phát hiện ra khi tình cờ khám siêu âm vì một lý do nào đó khác hoặc trong các cuộc thăm khám tổng quát định kỳ.
Xét nghiệm nước tiểu
Đây là xét nghiệm bắt buộc trong chẩn đoán sỏi thận. Vì từ kết quả của xét nghiệm này có thể kết luận được nhiều về tình trạng bệnh – các giai đoạn và biến chứng, đặc biệt là nhiễm trùng đường tiết niệu.

Soi cặn lắng
Các tinh thể Oxalate, Phosphate, Calci… là các thành phần của sỏi thận. Soi cặn lắng có thể kết luận được loại sỏi đang tồn tại và hình thành trong hệ tiết niệu.
Đo pH nước tiểu
Vi trùng sẽ phân hủy ure thành amoniac nên khi nồng độ pH>6,5 có thể kết luận là nhiễm trùng đường niệu.
Định lượng protein niệu
Nếu protein xuất hiện trong nước tiểu với lượng nhiều, bác sĩ sẽ phải chẩn đoán thêm các bệnh bệnh lý cầu thận vì nếu chỉ nhiễm trùng niệu không thôi, thì trong nước tiểu có rất ít protein niệu.
Tìm tế bào và vi trùng
Xét nghiệm nước tiểu tìm thấy nhiều hồng cầu, bạch cầu. Nếu nghi ngờ sỏi thận có biến chứng nhiễm trùng, khi quay ly tâm, soi và nhuộm Gram có thể thấy vi trùng trong nước tiểu.
ASP – Chụp Xquang bụng không chuẩn bị
Đa phần sỏi hệ tiết niệu ở Việt Nam là sỏi cản quang nên chỉ định chụp Xquang rất có giá trị trong chẩn đoán. Biện pháp này giúp bác sĩ xác định vị trí sỏi cản quang, cho biết kích thước số lượng và hình dáng của sỏi.

UIV – Chụp hệ tiết niệu qua đường tĩnh mạch
Chụp UIV cho biết hình dáng thận, đài bể thận, niệu quản; vị trí của sỏi trong đường tiết niệu và mức độ giãn nở của đài bể thận, niệu quản. Thông qua đó có thể xác định được chức năng bài tiết chất cản quang của thận từng bên.
Chụp X quang niệu quản thận ngược dòng và xuôi dòng
Đây là biện pháp để phát hiện sỏi không cản quang, nó có giá trị trong trường hợp thận câm trên phim UIV
Nội soi bàng quang
Biện pháp này ít dùng để chẩn đoán mà chỉ dùng trong phẫu thuật nội soi lấy sỏi là chính.
=> Gọi đến số điện thoại 097 119 5050 – 097 129 5050 để được Đức Phúc đặt lịch và thăm khám sớm nhất!
Điều trị sỏi thận ở đâu là uy tín nhất?
Sỏi tiết niệu rất đa dạng và cần điều trị sớm. Người bệnh nên tìm đến những cơ sở y tế lớn, uy tín để thăm khám, trong trường hợp cần điều trị thì có thể điều trị tại đó luôn.
Chuyên khoa Thận – Tiết niệu là một trong những thế mạnh của Bệnh viện Đức Phúc. Là nơi điều trị và phẫu thuật bệnh lý hệ Thận – Tiết niệu nặng nhẹ khác nhau: bệnh lý ung thư đường niệu, các dị tật của hệ thống tiết niệu, sỏi tiết niệu, chấn thương đường tiết niệu và các bệnh lý vô sinh, thiểu năng sinh dục nam…

Các kỹ thuật mới, kỹ thuật cao được thực hiện trên thế giới luôn được các bác sĩ trong khoa học tập và đưa vào áp dụng thực tế. Đến nay, khoa đã thực hiện gần như tất cả các kỹ thuật chuyên sâu về Tiết niệu như phẫu thuật nội soi, tán sỏi thận qua da, cắt bàng quang, tuyến tiền liệt toàn bộ, tạo hình bàng quang, ghép thận… Từ năm 2010 tới nay laser được đưa vào sử dụng trong các trường hợp tán sỏi.
Vì sao nên chọn điều trị sỏi thận tại Bệnh viện Hỗ trợ sinh sản và Nam học Đức Phúc?
Đội ngũ bác sĩ giỏi chuyên môn, giàu kinh nghiệm
Đến với Bệnh viện Đức Phúc, bạn sẽ được thăm khám, tư vấn và điều trị với đội ngũ bác sĩ, chuyên gia giỏi chuyên môn, giàu kinh nghiệm về chuyên khoa thận – tiết niệu. Đội ngũ bác sĩ đã thực hiện chữa trị thành công rất nhiều trường hợp sỏi tiết niệu khó để người bệnh có thể trở lại cuộc sống bình thường, khỏe mạnh.
Tiến sĩ – Bác sĩ Lê Sỹ Trung, hiện đang giữ chức vụ Trưởng khoa Thận – Tiết niệu tại Bệnh viện Đức Phúc. Với bề dày hơn 30 kinh nghiệm trong nghề, bác sĩ đã điều trị thành công rất nhiều trường hợp khó về sỏi thận – tiết niệu.

Cơ sở vật chất hiện đại, máy móc tiên tiến
Bệnh viện Đức Phúc là một trong những đơn vị bệnh viện ngoài công lập có thế mạnh về khám, phẫu thuật điều trị sỏi tiết niệu ở cả nam và nữ với những phương pháp phẫu thuật và chăm sóc điều trị tiên tiến.


Dịch vụ chăm sóc khách hàng chu đáo, tận tình
Đức Phúc luôn hướng đến nâng cao chất lượng hoạt động để cung cấp cho khách hàng những dịch vụ y tế tốt nhất. Đội ngũ điều dưỡng viên ở Đức Phúc được tuyển chọn và đào tạo rất kỹ càng về kiến thức chuyên môn lẫn đạo đức nghề nghiệp; trình độ cao, thành thạo các kỹ năng chăm sóc bệnh nhân; phục vụ bệnh nhân luôn luôn cởi mở, thân thiện, nhẹ nhàng.

Những phương pháp điều trị sỏi thận hiện đang được áp dụng tại Bệnh viện Đức Phúc
Đối với những trường hợp sỏi thận không gây biến chứng giãn hệ tiết niệu, người bệnh có thể dùng thuốc theo chỉ định của bác sĩ. Bác sĩ có thể kê một số loại thuốc làm tan sỏi có thành phần là urat hoặc cystine. Nếu sỏi có kích thước lớn hơn, người bệnh cần điều trị bằng các biện pháp can thiệp.
“Nói không với mổ mở” là phương châm hàng đầu trong lĩnh vực điều trị sỏi thận mà Đức Phúc luôn hướng đến trong nhiều năm này. Nhằm tiết kiệm chi phí, rút ngắn thời gian nằm viện và đảm bảo sức khỏe bệnh nhân được phục hồi nhanh chóng, cho nên hiện nay, tại Bệnh viện Đức Phúc, sỏi thận có thể được điều trị bằng 3 phương pháp sau:
- Tán sỏi qua da
- Tán sỏi nội soi ngược dòng
- Phẫu thuật điều trị hẹp niệu quản do sỏi bằng công nghệ cao, nội soi sử dụng thulium laser
Theo các bác sĩ tại Bệnh viện Đức Phúc, tùy vào tình trạng và kích thước cụ thể của sỏi thận mà bác sĩ sẽ chỉ định biện pháp điều trị khác nhau. Ngoài ra, để điều trị sỏi bệnh dứt điểm người bệnh cần tuyệt đối tuân theo sự chỉ dẫn của bác sĩ và có biện pháp phòng tránh bệnh tái phát trở lại.
=> Bệnh sỏi thận không thể trì hoãn, bạn hãy gọi ngay đến hotline 097 119 5050 – 097 129 5050 để được Đức Phúc tư vấn và điều trị kịp thời!
Trên đây là những thông tin về bệnh sỏi thận và phương pháp điều trị sỏi thận hiệu quả. Nếu bạn còn bất cứ thắc mắc nào, hãy liên hệ ngay hệ thống hotline của Đức Phúc để được chúng tôi giải đáp nhanh chóng nhất.
Bệnh viện Hỗ trợ sinh sản và Nam học Đức Phúc
Địa chỉ: Số 48 P. Ô Đồng Lầm, Phương Liên, Đống Đa, Hà Nội
Hotline: 0971 195 050 – 0971 295 050
Email: info@ducphuchospital.vn
Fanpage: https://www.facebook.com/benhvienducphuc
Website: benhvienducphuc.com







